欢迎访问林业科学,今天是

林业科学 ›› 2026, Vol. 62 ›› Issue (2): 126-133.doi: 10.11707/j.1001-7488.LYKX20250329

• 研究论文 • 上一篇    

杨树PagABP1介导生长素信号影响植株生长

王深1,2,曾智新1,2,乔静1,2,王雨馨1,郑瑞琦1,2,王启1,2,吴荟1,2,张琦琦1,焦阳1,2,舒文波1,2,*()   

  1. 1. 果蔬园艺作物种质创新与利用全国重点实验室 华中农业大学 武汉 430070
    2. 华中农业大学神农架科技创新中心 神农架 442422
  • 收稿日期:2025-05-21 修回日期:2025-08-25 出版日期:2026-02-25 发布日期:2026-03-04
  • 通讯作者: 舒文波 E-mail:wenboshu@mail.hzau.edu.cn
  • 基金资助:
    国家重点研发计划项目(2023YFD2200202);湖北省大学生创新训练计划项目(S202410504140);华中农业大学2024年大学生科技创新基金(SRF)项目(2024SRF085)。

PagABP1 in Populus Mediates Auxin Signaling to Influence Plant Growth

Shen Wang1,2,Zhixin Zeng1,2,Jing Qiao1,2,Yuxin Wang1,Ruiqi Zheng1,2,Qi Wang1,2,Hui Wu1,2,Qiqi Zhang1,Yang Jiao1,2,Wenbo Shu1,2,*()   

  1. 1. National Key Laboratory for Germplasm Innovation and Utilization of Horticultural Crops Huazhong Agricultural University Wuhan 430070
    2. Shennongjia Science and Technology Innovation Center, Huazhong Agricultural University Shennongjia 442422
  • Received:2025-05-21 Revised:2025-08-25 Online:2026-02-25 Published:2026-03-04
  • Contact: Wenbo Shu E-mail:wenboshu@mail.hzau.edu.cn

摘要:

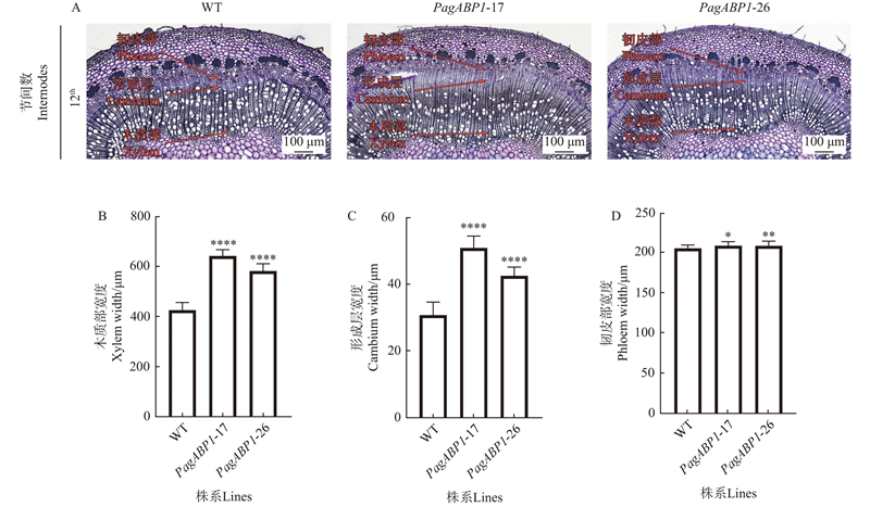
目的: 对84K杨PagABP基因家族进行全基因组鉴定和生物信息学分析,选择在顶芽、幼茎、形成层、韧皮部和木质部均高表达的PagABP1基因,探究该基因对杨树径向生长和高生长的调控作用,为阐明ABP1介导的生长素信号通路在茎生长中的分子机制提供参考。方法: 采用生物信息学相关方法,鉴定84K杨PagABP基因家族成员;利用qRT-PCR技术,分析PagABP1基因在顶芽、幼叶、幼茎、幼根、成熟茎、老根、根尖、韧皮部、维管形成层和木质部中的表达;分别将PagABP1启动子和编码区序列构建植物PPagABP1::GUS启动子载体和过表达35S::PagABP1载体,应用农杆菌介导法创制84K杨转基因材料,探究PagABP1基因对杨树径向生长和高生长的影响。结果: 在84K杨基因组中鉴定到2个ABP基因家族成员,其中PagABP1基因在顶芽、幼茎、形成层、韧皮部和木质部中相对表达量较高;PpagABP1::GUS转基因杨与PpagDR5::GUS(生长素响应报告基因)转基因杨基因表达位置重合,主要表达于顶芽、幼茎、形成层、韧皮部与初生木质部,提示PagABP1参与生长素诱导影响径向生长和高生长;截顶土栽苗在萌芽数和生长速率上,PagABP1-OE株系均显著大于对照;分析60天的过表达PagABP1基因的转基因株系(#17、#26)发现,第12茎节间形成层宽度、初生木质部宽度、韧皮部宽度、株高和地径分别较对照提高50.2%、43.3%、1.58%、19.14%和19.29%。结论: PagABP1基因与生长素表达部位关联,主要在顶芽、幼茎、形成层、韧皮部和初生木质部中表达,影响杨树径向生长和高生长。

关键词: 84K杨, 生长素信号, PagABP1, 径向生长, 高生长

Abstract:

Objective: Through genome-wide identification and bioinformatics analysis of PagABP gene family of Populus alba × P. glandulosa, the gene PagABP1 that is highly expressed in young stems, cambium, xylem and phloem was selected to explore its effect on radial and height growth of this poplar. This study aims to provide a theoretical basis for elucidating how the auxin signaling pathway regulates secondary growth of stems by studying the regulatory role of this gene in the radial and height growth of poplars. Method: Bioinformatics and related software were used to identify the members of the PagABP gene family in 84K poplar. The real-time fluorescence quantitative PCR was used to analyze the expression of PagABP1 gene in terminal buds, young leaves, young stems, young roots, mature stems, old roots, root tips, phloem, vascular cambium and xylem. Plant PPagABP1::GUS promoter vector and overexpressing 35S::PagABP1 vector were constructed by using the PagABP1 promoter and coding region sequences, respectively. Agrobacterium-mediated method was used to create 84K poplar transgenic materials that were used to identify the effects of PagABP1 gene on poplar radial and height growth. Result: Two ABP homologous genes were identified in 84K poplar genome, and the PagABP1 gene showed relatively higher expression levels in the apical bud, young stems, phloem, cambium, and xylem. The expression locations of PPagABP1::GUS in transgenic poplar were overlapped with those of PpagDR5::GUS (auxin response reporter gene), mainly in the terminal bud, young stem, cambium, phloem, and primary xylem, suggesting that PagABP1 is involved in auxin-mediated regulation of radial and height growth. The germination number and growth rate of PagABP1-OE lines were significantly higher than those of the control when the truncated seedlings were planted in soil. Analysis of transgenic lines (#17、#26) that overexpressed PagABP1 gene at 60 days showed that the width of the cambium, primary xylem, and phloem of 12th internode, plant height and basal diameter increased by 50.2%, 43.3%, 1.58%, 19.14% and 19.29%, respectively, compared to the control. Conclusion: PagABP1 gene is associated with auxin expression site, mainly expressed in terminal buds, young stem, phloem, cambium, and primary xylem, affecting radial and height growth. This study can lay a foundation for further revealing the molecular mechanism of PagABP1 gene involved in stem growth of 84K poplar.

Key words: Populus alba × P. glandulosa, auxin signaling, PagABP1, radial growth, height growth

中图分类号: