林业科学 ›› 2022, Vol. 58 ›› Issue (2): 113-124.doi: 10.11707/j.1001-7488.20220212
吕庚鑫1,2,3,孟益德1,3,庆军1,3,何凤1,3,刘攀峰1,3,杜庆鑫1,3,杜红岩1,3,杜兰英1,3,王璐1,3,*
收稿日期:2021-02-07
出版日期:2022-02-25
发布日期:2022-04-26
通讯作者:
王璐
基金资助:Gengxin Lü1,2,3,Yide Meng1,3,Jun Qing1,3,Feng He1,3,Panfeng Liu1,3,Qingxin Du1,3,Hongyan Du1,3,Lanying Du1,3,Lu Wang1,3,*
Received:2021-02-07
Online:2022-02-25
Published:2022-04-26
Contact:
Lu Wang
摘要:
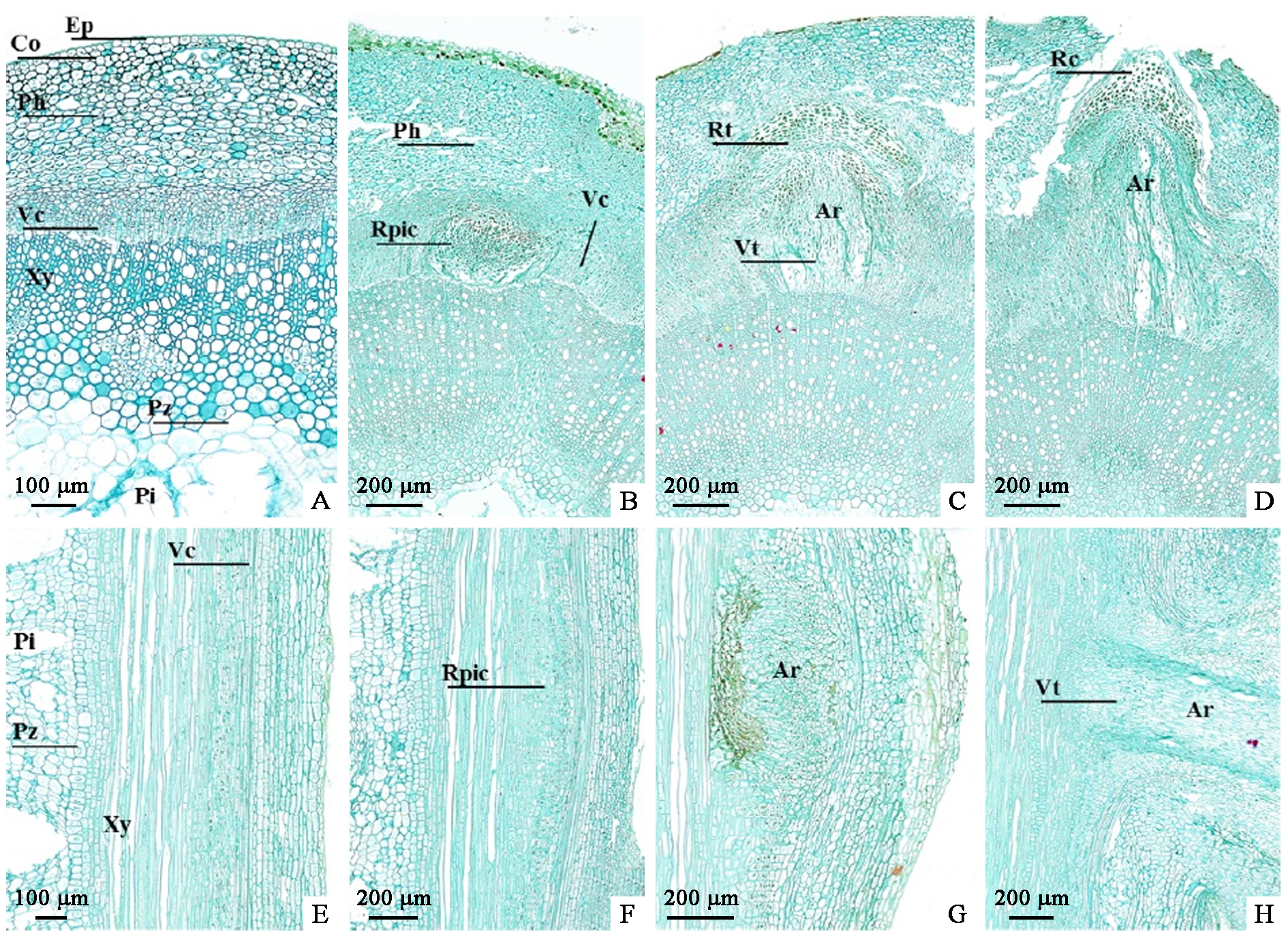
目的: 研究杜仲良种嫩枝扦插不定根发育的解剖结构特征,探讨内源激素、氧化酶、营养物质的动态变化规律及作用,为进一步研究杜仲扦插不定根发育机制及调控技术提供参考。方法: 以‘华仲6号’杜仲当年生半木质化嫩枝为研究对象,通过石蜡切片技术对插穗生根部位进行解剖观察;利用高效液相色谱-质谱法(HPLC-MS/MS)测定生根部位IAA、GA3、ABA及ZR的含量;利用比色法测定IAAO、POD、PPO的活性;采用蒽酮法、考马斯亮蓝法和凯氏定氮法主要测定营养物质中可溶性糖、可溶性蛋白和全氮含量。结果: 1) 杜仲不定根是由形成层外的薄壁细胞诱导分化形成,属于皮部诱导生根型。其生根过程可划分为诱导期(扦插0~12天)、启动期(扦插12~22天)、表达期(扦插22~32天)和伸长期(扦插32~53天)。在表达期可观察到插穗基部有幼小白色不定根突破皮层。2)经杜仲专用生根剂处理的插穗每根平均生根数量可达25.6根,比对照多约20根;平均根长为8.41 cm,约为对照组2倍;生根率为85.3%,提高60%。3)在杜仲扦插生根过程中IAA起到关键作用。POD和PPO活性先升后降,IAAO活性先降后升,营养物质在生根前积累,生根后含量降低。结论: 杜仲不定根发生属于皮部诱导生根类型。在不定根形成关键时期,IAA含量升高是诱导根原基的关键,同时,IAAO活性降低,POD、PPO活性升高,营养物质快速积累,均与生根关系密切。
中图分类号:
吕庚鑫,孟益德,庆军,何凤,刘攀峰,杜庆鑫,杜红岩,杜兰英,王璐. ‘华仲6号’杜仲嫩枝扦插生根的解剖及生理变化[J]. 林业科学, 2022, 58(2): 113-124.
Gengxin Lü,Yide Meng,Jun Qing,Feng He,Panfeng Liu,Qingxin Du,Hongyan Du,Lanying Du,Lu Wang. Changes of Anatomical Structure and Physiology during Softwood Cutting Rooting of Eucommia ulmoides 'Huazhong No. 6'[J]. Scientia Silvae Sinicae, 2022, 58(2): 113-124.
表1
外源激素处理对杜仲嫩枝扦插根系形态指标及生根时间的影响①"
| 处理 Treatment | 生根率 Rooting rate(%) | 平均根长 Mean length of root/cm | 最长根长 Length of longest root/cm | 平均生根数 Mean number of roots | 不定根开始发生 Adventitious roots begin to occur/d |
| 对照 Control | 21.3±1.53 a | 4.33±1.17 a | 8.3±1.76 a | 5.35±1.68 a | 32~46 |
| 处理 Treatment | 85.3±2.52 b | 8.41±2.57 b | 13.3±2.36 b | 25.60±4.01 b | 22~32 |
|
敖红, 王昆, 冯玉龙. 长白落叶松插穗的内源激素水平及其与扦插生根的关系. 植物研究, 2002, 22 (2): 190- 195.
doi: 10.3969/j.issn.1673-5102.2002.02.014 |
|
|
Ao H , Wang K , Feng Y L . Endogenous hormones levels in cuttings of Larix olgensis and their relations to rooting. Bulletin of Botanical Research, 2002, 22 (2): 190- 195.
doi: 10.3969/j.issn.1673-5102.2002.02.014 |
|
| 蔡楚恒. 外源激素对茶条槭嫩枝扦插生根影响的研究. 北京: 北京林业大学, 2019. | |
| Cai C H . The effect of exogenous hormones on rooting of softwood cutting of Acer ginnala Maxim. Beijing: Beijing Forestry University, 2019. | |
| 曹凡, 彭方仁, 梁有旺, 等. 美国山核桃不定根形成过程中相关蛋白质的鉴定及功能分析. 南京林业大学学报(自然科学版), 2016, 40 (2): 53- 58. | |
| Cao F , Peng F R , Liang Y W , et al. Identification and function prediction of proteins during the adventitious rooting of Pecan hardwood cuttings. Journal of Nanjing Forestry University(Natural Sciences Edition), 2016, 40 (2): 53- 58. | |
| 陈宁. 五彩柊树扦插繁殖及其生根生理生化特性研究. 南京: 南京林业大学, 2011. | |
| Chen N . Studies on the cutting propagation and rooting physiological and biochemical characteristics of Osmanthus heterophyllus. Nanjing: Nanjing Forestry University, 2011. | |
|
迟彦, 侯义龙, 于亚军, 等. 芽变毛白杨及其亲缘种扦插生根过程中内源激素含量的动态变化. 安徽农业科学, 2007, 35 (27): 8438- 8439.
doi: 10.3969/j.issn.0517-6611.2007.27.008 |
|
|
Chi Y , Hou Y L , Yu Y J , et al. Dynamic changes of endogenous hormones contents in mutant of Populus tomentosa and its relative species in the cutting and rooting procedure. Journal of Anhui Agricultural Sciences, 2007, 35 (27): 8438- 8439.
doi: 10.3969/j.issn.0517-6611.2007.27.008 |
|
|
董胜君, 刘明国, 戴菲, 等. 山杏嫩枝扦插生根过程中插穗内源激素含量的变化. 经济林研究, 2013, 31 (4): 108- 114.
doi: 10.3969/j.issn.1003-8981.2013.04.018 |
|
|
Dong S J , Liu M G , Dai F , et al. Variation of endogenous hormone contents in softwood cuttings of Armeniaca sibirica during adventitious root formation. Nonwood Forest Research, 2013, 31 (4): 108- 114.
doi: 10.3969/j.issn.1003-8981.2013.04.018 |
|
| 杜常健, 孙佳成, 陈炜, 等. 侧柏古树实生树和嫁接树的扦插生理和解剖特性比较. 林业科学, 2019a, 55 (9): 41- 49. | |
| Du C J , Sun J C , Chen W , et al. Comparison of physiological and anatomical characteristics between seedlings and graftings derived from old Platycladus orientalis. Scientia Silvae Sinicae, 2019a, 55 (9): 41- 49. | |
| 杜常健, 孙佳成, 韩振泰, 等. 板栗扦插生根过程的解剖结构和生理变化研究. 西北植物学报, 2019b, 39 (11): 1979- 1987. | |
| Du C J , Sun J C , Han Z T , et al. Study on changes of anatomical structure and physiology during cuttings rooting of Castanea mollissima. Acta Botanica Boreali-Occidentalia Sinica, 2019b, 39 (11): 1979- 1987. | |
| 杜红岩, 杜庆鑫. 我国杜仲产业高质量发展的基础、问题与对策. 经济林研究, 2020, 38 (1): 1- 10. | |
| Du H Y , Du Q X . Foundation, problems and countermeasures of Eucommia ulmoides industry high-quality development in China. Nonwood Forest Research, 2020, 38 (1): 1- 10. | |
| 杜庆鑫, 魏艳秀, 刘攀峰, 等. 杜仲雄花主要活性成分含量的多样性. 林业科学, 2017, 53 (2): 35- 43. | |
| Du Q X , Wei Y X , Liu P F , et al. Diversity of the content of main active components in Eucommia ulmoides male flowers. Scientia Silvae Sinicae, 2017, 5 (2): 35- 43. | |
| 杜伟. 桑树硬枝扦插生根的生理生化与分子机理研究. 镇江: 江苏科技大学, 2016. | |
| Du W . Study on physiological, biochemical and molecular mechanism of rooting in Mulberry hardwood cutting. Zhenjiang: Jiangsu University of Science and Technology, 2016. | |
|
杜学梅, 杨廷桢, 高敬东, 等. 苹果扦插繁殖生根机理研究进展. 农学学报, 2019, 9 (12): 17- 22.
doi: 10.11923/j.issn.2095-4050.cjas18110009 |
|
|
Du X M , Yang T Z , Gao J D , et al. Progress of rooting mechanism study in apple cutting propagation. Journal of Agriculture, 2019, 9 (12): 17- 22.
doi: 10.11923/j.issn.2095-4050.cjas18110009 |
|
|
郭英超, 杜克久, 贾哲. 兴安圆柏扦插生根过程中相关内源激素特征分析. 中国农学通报, 2012, 28 (1): 44- 48.
doi: 10.3969/j.issn.1000-6850.2012.01.009 |
|
|
Guo Y C , Du K J , Jia Z . Analysis of the characteristics of endogenous hormones during root formation of Sabina davurica (Pall.) Ant. Chinese Agricultural Science Bulletin, 2012, 28 (1): 44- 48.
doi: 10.3969/j.issn.1000-6850.2012.01.009 |
|
| 韩继红, 邵文豪, 刘金凤, 等. 无患子硬枝扦插进程插穗内源激素和多酚类物质含量变化. 经济林研究, 2019, 37 (3): 37- 43. | |
| Han J H , Shao W H , Liu J F , et al. Content changes of endogenous hormone and polyphenols during hardwood cuttage progress in Sapindus mukorossi. Nonwood Forest Research, 2019, 37 (3): 37- 43. | |
|
侯江涛, 沈聪聪, 张毅芳, 等. 植物扦插繁殖生根机理研究综述. 安徽农业科学, 2019, 47 (19): 1- 3.
doi: 10.3969/j.issn.0517-6611.2019.19.001 |
|
|
Huo J T , Shen C C , Zhang Y F , et al. Review on rooting mechanism of plant cuttings propagation. Journal of Anhui Agricultural Sciences, 2019, 47 (19): 1- 3.
doi: 10.3969/j.issn.0517-6611.2019.19.001 |
|
| 康向阳. 杜仲良种选育研究现状及展望. 北京林业大学学报, 2017, 39 (3): 1- 6. | |
| Kang X Y . Status and prospect of improved variety selection in Eucommia ulmoides. Journal of Beijing Forestry University, 2017, 39 (3): 1- 6. | |
| 李斌. 长柄扁桃嫩枝扦插繁殖技术与生根机理研究. 北京: 中国林业科学研究院, 2017. | |
| Li B . Soft-wood cutting propagation technique and rooting physiology research of Amygdalus pedunculata. Beijing: Chinese Academy of Forestry, 2017. | |
|
李朝婵, 赵云龙, 张冬林, 等. 长蕊杜鹃扦插内源激素变化及解剖结构观察. 林业科学研究, 2012, 25 (3): 360- 365.
doi: 10.3969/j.issn.1001-1498.2012.03.015 |
|
|
Li C C , Zhao Y L , Zhang D L , et al. Changes of endogenous hormones and anatomical structure of Rhododendron stamineum during cutting propagation. Forest Research, 2012, 25 (3): 360- 365.
doi: 10.3969/j.issn.1001-1498.2012.03.015 |
|
| 李合生, 孙群, 赵世杰, 等. 植物生理生化实验原理和技术. 北京: 高等教育出版社, 2000: 164- 197.164-168, 186-197 | |
| Li H S , Sun Q , Zhao S J , et al. Principle and technology of plant physiological and biochemical experiment. Beijing: Higher Education Press, 2000: 164- 197.164-168, 186-197 | |
| 李响, 郭晋平, 张芸香. 杜仲带芽茎段诱导和分化的组培体系优化. 北方园艺, 2019, (5): 32- 38. | |
| Li X , Guo J P , Zhang Y X . Optimization of factors affecting induction and differentiation of bud segments of Eucommia ulmoides Oliv. Northern Horticulture, 2019, (5): 32- 38. | |
|
梁晓静, 朱昌叁, 安家成, 等. 小叶芳樟扦插育苗技术及其不定根形成机理. 广西林业科学, 2020, 49 (1): 7- 12.
doi: 10.3969/j.issn.1006-1126.2020.01.002 |
|
|
Liang X J , Zhu C S , An J C , et al. Cuttage technology and adventitious rooting mechanism of Cinnamomum camphora var. linaloolifera. Guangxi Forestry Science, 2020, 49 (1): 7- 12.
doi: 10.3969/j.issn.1006-1126.2020.01.002 |
|
| 刘闵豪, 徐郡儡, 叶靖, 等. 农杆菌介导的杜仲叶片愈伤组织遗传转化体系. 林业科学, 2020, 56 (2): 79- 88. | |
| Liu M H , Xu J L , Ye J , et al. Agrobacterium tumefaciens-mediated transformation of leaf callus in Eucommia ulmoides. Scientia Silvae Sinicae, 2020, 56 (2): 79- 88. | |
|
刘明国, 王玲, 董胜君, 等. 北美香柏插穗生根过程中内源激素的变化. 沈阳农业大学学报, 2010, 41 (5): 555- 559.
doi: 10.3969/j.issn.1000-1700.2010.05.009 |
|
|
Liu M G , Wang L , Dong S J , et al. Endogenous hormone variation in cuttings of Thuja occidentalis L. in the period of adventitious root formation. Journal of Shenyang Agricultural University, 2010, 41 (5): 555- 559.
doi: 10.3969/j.issn.1000-1700.2010.05.009 |
|
| 刘攀峰, 王璐, 杜庆鑫, 等. 杜仲在我国的潜在适生区估计及其生态特征分析. 生态学报, 2020, 40 (16): 5674- 5684. | |
| Liu P F , Wang L , Du Q X , et al. Estimation of potential suitable distribution area and the ecological characteristics of Eucommia ulmoides Oliv. in China. Chinese Journal of Plant Ecology, 2020, 40 (16): 5674- 5684. | |
|
莫文娟, 张嘉嘉, 杨绍彬, 等. 杂交杏李'风味玫瑰'花芽分化过程及内源激素动态变化. 中国农业大学学报, 2020, 25 (11): 54- 61.
doi: 10.11841/j.issn.1007-4333.2020.11.06 |
|
|
Mo W J , Zhang J J , Yang S B , et al. Flower bud differentiation and dynamic changes of endogenous hormone in Prunus domestica × armeniaca 'Fengweimeigui'. Journal of China Agricultural University, 2020, 25 (11): 54- 61.
doi: 10.11841/j.issn.1007-4333.2020.11.06 |
|
| 欧阳芳群, 付国赞, 王军辉, 等. 欧洲云杉扦插生根进程中内源激素和多酚类物质变化. 林业科学, 2015, 51 (3): 155- 162. | |
| Ouyang F Q , Fu G Z , Wang J H , et al. Qualitative analysis of endogenesis hormone and polyphenol during rooting of cuttings in Norway Spruce (Picea abies). Scientia Silvae Sinicae, 2015, 51 (3): 155- 162. | |
|
宋金耀, 刘永军, 宋刚, 等. 几个常见树种扦插生根过程中POD、IAAO活性及酚含量的变化. 江苏农业科学, 2007, (6): 115- 118.
doi: 10.3969/j.issn.1002-1302.2007.06.037 |
|
|
Song J Y , Liu Y J , Song G , et al. Changes of peroxidase and IAA oxidase activities and phenol content in the cutting root course of several familiar tree species. Jiangsu Agricultural Sciences, 2007, (6): 115- 118.
doi: 10.3969/j.issn.1002-1302.2007.06.037 |
|
| 王高鹏, 程超民, 孟淑霞. 杜仲良种无性系嫩枝扦插繁育技术研究. 河南农业, 2018, (2): 20- 21. | |
| Wang G P , Cheng C M , Meng S X . Study on tender cutting propagation technology of Eucommia ulmoides clones. Agriculture of Henan, 2018, (2): 20- 21. | |
| 王青. 麻楝嫩枝扦插繁殖技术及其生根机理研究. 哈尔滨: 东北林业大学, 2019. | |
| Wang Q . Propagation techniques and rooting mechanism of Chukrasia tabularis softwood cuttings. Haerbin: Northeast Forestry University, 2019. | |
| 王涛. 植物扦插繁殖技术. 北京: 北京科学技术出版社, 1996: 34- 57. | |
| Wang T . Plant cutting propagation. Beijing: Beijing Science and Technology Press, 1996: 31- 57. | |
|
汪欣, 向兆, 李策, 等. 全自动凯氏定氮仪测定土壤全氮含量方法的优化探索. 山东农业大学学报(自然科学版), 2020, 51 (3): 438- 440.
doi: 10.3969/j.issn.1000-2324.2020.03.009 |
|
|
Wang X , Xiang Z , Li C , et al. Optimization of the method for determination of total nitrogen in soil by automatic Kjeldahl apparatus. Journal of Shandong Agricultural University(Natural Science Edition), 2020, 51 (3): 438- 440.
doi: 10.3969/j.issn.1000-2324.2020.03.009 |
|
|
王新建, 何威, 张秋娟, 等. 豫楸1号扦插生根过程中营养物质含量及氧化酶类活性的变化. 林业科学, 2009, 45 (4): 156- 161.
doi: 10.3321/j.issn:1001-7488.2009.04.026 |
|
|
Wang X J , He W , Zhang Q J , et al. Change of nutrient content and oxidase activities during rooting of Catalpa bungei cl. 'Yu-1'. Scientia Silvae Sinicae, 2009, 45 (4): 156- 161.
doi: 10.3321/j.issn:1001-7488.2009.04.026 |
|
|
魏海蓉, 陈新, 宗晓娟, 等. 甜樱桃矮化砧'吉塞拉6号'扦插过程中氧化酶活性和碳氮含量变化. 林业科学, 2013, 49 (9): 172- 177.
doi: 10.11707/j.1001-7488.201309025 |
|
|
Wei H R , Chen X , Zong X J , et al. Fluctuations of oxidase activities and carbon and nitrogen content during the rooting process of sweet cherry dwarf rootstock 'Gisela 6' softwood cuttings. Scientia Silvae Sinicae, 2013, 49 (9): 172- 177.
doi: 10.11707/j.1001-7488.201309025 |
|
| 吴文浩, 曹凡, 刘壮壮, 等. NAA对薄壳山核桃扦插生根过程中内源激素含量变化的影响. 南京林业大学学报(自然科学版), 2016, 40 (5): 191- 196. | |
| Wu W H , Cao F , Liu Z Z , et al. Effects of NAA treatment on the endogenous hormone changes in cuttings of Carya illinoinensis during rooting. Journal of Nanjing Forestry University (Natural Sciences Edition), 2016, 40 (5): 191- 196. | |
|
许晓岗, 丁芳芳, 童丽丽. 垂丝海棠、楸子扦插生根的生理机制. 东北林业大学学报, 2013, 41 (5): 91- 97.
doi: 10.3969/j.issn.1000-5382.2013.05.021 |
|
|
Xu X G , Ding F F , Tong L L . Basic physiological indices in cuttings of Malus halliana and Malus prunifolia. Journal of Northeast Forestry University, 2013, 41 (5): 91- 97.
doi: 10.3969/j.issn.1000-5382.2013.05.021 |
|
|
易咏梅. 杜仲二次梢扦插生根过程中营养物质动态变化分析. 特产研究, 2001, 23 (2): 10- 12.
doi: 10.3969/j.issn.1001-4721.2001.02.004 |
|
|
Yi Y M . Study on variations of organial matter content in the second newly twigs of Eucommia ulmoides Olv. in the course of cuttage rooting. Special Wild Economic Animal and Plant, 2001, 23 (2): 10- 12.
doi: 10.3969/j.issn.1001-4721.2001.02.004 |
|
| 张焕欣, 董春娟, 李福凯, 等. 植物不定根发生机理的研究进展. 西北植物学报, 2017, 37 (7): 1457- 1464. | |
| Zhang H X , Dong C J , Li F K , et al. Progress on the regulatory mechanism of adventitious rooting. Acta Botanica Boreali-Occidentalia Sinica, 2017, 37 (7): 1457- 1464. | |
| 张猛, 王丹, 汤浩茹, 等. 费约果茎解剖结构与插条不定根的形成. 林业科学, 2010, 46 (7): 183- 187. | |
| Zhang M , Wang D , Tang H R , et al. Anatomical structure of stem and adventitious root formation of Feijoa cuttings. Scientia Silvae Sinicae, 2010, 46 (7): 183- 187. | |
|
张晓平, 方炎明, 黄绍辉. 杂种鹅掌楸扦插生根过程中内源激素的变化. 南京林业大学学报(自然科学版), 2004, 28 (3): 79- 82.
doi: 10.3969/j.issn.1000-2006.2004.03.020 |
|
|
Zhang X P , Fang Y M , Huang S H . The endogenous hormone's variation during the adventitious roots formation of hybrid Tuliptrees by cutting. Journal of Nanjing Forestry University (Natural Sciences Edition), 2004, 28 (3): 79- 82.
doi: 10.3969/j.issn.1000-2006.2004.03.020 |
|
|
赵云龙, 陈训, 李朝婵. 糙叶杜鹃扦插生根过程中生理生化分析. 林业科学, 2013, 49 (6): 45- 51.
doi: 10.3969/j.issn.1672-8246.2013.06.007 |
|
|
Zhao Y L , Chen X , Li Z C . Dynamic of physiology and biochemistry during wild Rhododendron scabrifolium cutting propagation. Scientia Silvae Sinicae, 2013, 49 (6): 45- 51.
doi: 10.3969/j.issn.1672-8246.2013.06.007 |
|
| 郑巧巧, 兰思仁, 刘雪蝶, 等. 生长调节剂对'香妃'含笑扦插生根及相关酶活性的影响. 中南林业科技大学学报, 2020, 40 (5): 67- 76. | |
| Zheng Q Q , Lan S R , Liu X D , et al. Effects of growth regulators on rooting and correlative enzyme activities of Michelia figo 'Xiangfei' cuttings. Journal of Central South University of Forestry & Technology, 2020, 40 (5): 67- 76. | |
|
周容涛, 刘洋, 冷珊珊, 等. 欧美杂种山杨微扦插不定根发生过程的解剖学研究. 西北植物学报, 2013, 33 (11): 2184- 2188.
doi: 10.7606/j.issn.1000-4025.2013.11.2184 |
|
|
Zhou R T , Liu Y , Leng S S , et al. Morphological and anatomical features during the formation of adventitious roots of Populus tremula× P. tremuloides by micro-cuttage multiplication. Acta Botanica Boreali-Occidentalia Sinica, 2013, 33 (11): 2184- 2188.
doi: 10.7606/j.issn.1000-4025.2013.11.2184 |
|
|
Ahkami A H , Lischewski S , Haensch K T , et al. Molecular physiology of adventitious root formation in Petunia hybrida cuttings: involvement of wound response and primary metabolism. New Phytologist, 2009, 181 (3): 613- 625.
doi: 10.1111/j.1469-8137.2008.02704.x |
|
|
Barcelo A , Pedreno M A , Ferrer M A , et al. Indole-3-methanol is the main product of the oxidation of indole-3-acetic acid catalyzed by two cytosolic basic isoperoxidases from Lupinus. Planta, 1990, 181 (3): 448- 450.
doi: 10.1007/BF00195900 |
|
|
Cibele T D C , Maecia R D A , Carolina M R , et al. When stress and development go hand in hand: main hormonal controls of adventitious rooting in cuttings. Frontiers in Plant Science, 2013, 4
doi: 10.3389/fpls.2013.00133 |
|
|
Daniel Ioan P , Irene P , Catherine B . Auxin is a central player in the hormone cross-talks that control adventitious rooting. Physiologia Plantarum, 2014, 151 (1): 83- 96.
doi: 10.1111/ppl.12171 |
|
| Druege U , Franken P , Hajirezaei M R . Plant hormone homeostasis, signaling, and function during adventitious root formation in cutting. Frontiers in Plant Science, 2016, 7, 381. | |
|
Du W , Ban Y Y , Nie H , et al. A comparative transcriptome analysis leads to new insights into the molecular events governing root formation in mulberry softwood cuttings. Plant Molecular Biology Reporter, 2016, 34 (2): 365- 373.
doi: 10.1007/s11105-015-0927-1 |
|
| Gaspar T , Penel C , Castillo F J , et al. A two-step control of basic and acidic peroxidases and its significance for growth and development. Physiologia Plantarum, 1985, 64 (2): 418- 423. | |
| Hayrullah Y , Tuncer T K , Borol O . Polyphenol oxidase activity during rooting in cuttings of grape (Vitis vinifera L.) varieties. Turkish Journal of Botany, 2003, 27 (6): 495- 498. | |
|
Husen A , Pal M . Metabolic changes during adventitious root primordium development in Tectona grandis Linn. f. (teak) cuttings as affected by age of donor plants and auxin (IBA and NAA) treatment. New Forests, 2007, 33 (3): 309- 323.
doi: 10.1007/s11056-006-9030-7 |
|
| Li S W , Xue L G , Xu S J , et al. Hydrogen peroxide acts as a signal molecule in the adventitious root formation of mung bean seedlings. Environmental and Experimental Botany, 2008, 65 (1): 63- 71. | |
|
Nag S , Saha K , Choudhuri M A . Role of auxin and polyamines in adventitious root formation in relation to changes in compounds involved in rooting. Journal of Plant Growth Regulation, 2001, 20 (2): 182- 194.
doi: 10.1007/s003440010016 |
|
|
Naoki N , Masatoshi O , Akiyoshi K . Chemical screening for promotion of adventitious root formation in Eucalyptus globulus. BMC Proceedings, 2011, 5 (S7): 139.
doi: 10.1186/1753-6561-5-S7-P139 |
|
|
Ramirez-Carvajal G A , Morse M A , Dervinis C , et al. The cytokinin type-B response regulator PtRR13 is a negative regulator of adventitious root development in Populus. Plant Physiology, 2009, 150 (2): 759- 771.
doi: 10.1104/pp.109.137505 |
|
| Rout G R . Effect of auxins on adventitious root development from single node cuttings of Camellia sinensis (L.) Kuntze and associated biochemical changes. Plant Growth Regulation: An International Journal on Natural and Synthetic Regulators, 2006, 48 (2): 111- 117. | |
|
Syross T , Yupsanis T , Zafiriadis H , et al. Activity and isoforms of peroxidases, lignin and anatomy, during adventitious rooting in cuttings of Ebenus cretica L. Journal of Plant Physiology, 2004, 161 (1): 69- 77.
doi: 10.1078/0176-1617-00938 |
|
|
Taramino G , Sauer M , Stauffer Jr J L , et al. The maize (Zea mays L.) RTCS gene encodes a LOB domain protein that is a key regulator of embryonic seminal and post-embryonic shoot-borne root initiation. The Plant Journal, 2007, 50 (4): 649- 659.
doi: 10.1111/j.1365-313X.2007.03075.x |
|
| Zhang W X , Fan J J , Tan Q T , et al. The effects of exogenous hormones on rooting process and the activities of key enzymes of Malus hupehensis stem cuttings. PLoS ONE, 2017, 12 (2): 0172320. |
| [1] | 岑云昕,刘佳,陈发菊,杨敬元,刘强,王韬,梁宏伟. 农杆菌介导的楸树遗传转化体系[J]. 林业科学, 2021, 57(8): 195-204. |
| [2] | 谷瑞,徐森,陈双林,郭子武,章超. 美丽箬竹鞭段侧芽偏向性萌发生长的激素和养分作用[J]. 林业科学, 2021, 57(4): 73-81. |
| [3] | 张普,邵文靖,杜克久,张爽. 杜仲半胱氨酸蛋白酶抑制剂基因EuCPI的克隆及功能分析[J]. 林业科学, 2021, 57(3): 29-38. |
| [4] | 刘闵豪,李龙,叶靖,周轩辕,李周岐,范睿深,徐郡儡. 杜仲ARF基因家族全基因组鉴定和表达分析[J]. 林业科学, 2021, 57(3): 170-180. |
| [5] | 陈晨,喻方圆. 林木花芽分化研究进展[J]. 林业科学, 2020, 56(9): 119-129. |
| [6] | 王胤,姚瑞玲. 继代培养中马尾松生根能力及其与内源激素含量的相关分析[J]. 林业科学, 2020, 56(8): 38-46. |
| [7] | 刘洪凯,陈旭,张明忠,王强,王延平. 鲁中丘陵山地干旱生境上11个树种的细根解剖特征与耐旱策略[J]. 林业科学, 2020, 56(7): 185-193. |
| [8] | 任海燕,王永康,赵爱玲,薛晓芳,弓桂花,杜学梅,李登科,杜俊杰. ‘冷白玉’枣果实发育过程中内源激素变化与胚败育的关系[J]. 林业科学, 2020, 56(4): 55-63. |
| [9] | 刘闵豪,徐郡儡,叶靖,李周岐,范睿深,李龙. 农杆菌介导的杜仲叶片愈伤组织遗传转化体系[J]. 林业科学, 2020, 56(2): 79-88. |
| [10] | 房丽莎,徐自恒,刘震,李志,耿晓东,蔡齐飞,翟雯婧,周海清,王艳梅. 山桐子果实发育过程中内含物、内源激素及光合特性的变化[J]. 林业科学, 2020, 56(11): 41-52. |
| [11] | 郭彤彤,朱铭强,李晋鹏,郭新荣,贺虹. 杜仲梦尼夜蛾幼虫肠道可培养细菌的组成及其功能[J]. 林业科学, 2020, 56(11): 124-133. |
| [12] | 梁璧,张佳琦,任飞,胡恒康,徐川梅,胡渊渊,黄有军,娄和强,张启香. 山核桃贝壳杉烯氧化酶基因CcKO的克隆和表达分析[J]. 林业科学, 2020, 56(10): 70-82. |
| [13] | 杜常健, 孙佳成, 陈炜, 纪敬, 江泽平, 史胜青. 侧柏古树实生树和嫁接树的扦插生理和解剖特性比较[J]. 林业科学, 2019, 55(9): 41-49. |
| [14] | 刘秀梅, 张志浩, 王倩, 凌春辉, 韦业, 颜攀, 孟诗原, 朱红, 王华田. 磁化处理对镉胁迫下欧美杨I-107AsA-GSH循环和内源激素水平的影响[J]. 林业科学, 2019, 55(9): 81-91. |
| [15] | 官纪元, 樊卫国. 不同磷水平下刺梨实生苗生长及根系形态特征与内源激素含量的关系[J]. 林业科学, 2019, 55(4): 51-61. |
| 阅读次数 | ||||||
|
全文 |
|
|||||
|
摘要 |
|
|||||