欢迎访问林业科学,今天是

林业科学 ›› 2025, Vol. 61 ›› Issue (11): 45-55.doi: 10.11707/j.1001-7488.LYKX20240665

• 前沿热点 • 上一篇    下一篇

柚木驼蛾高毒力Bt菌株筛选及cry杀虫基因鉴定

赵纪成1,2(),王青华1,刘云朋1,张龙娃2,孔德治1,朱耀军4,曲良建1,3,*()   

  1. 1. 中国林业科学研究院森林生态环境与自然保护研究所 国家林业和草原局森林保护学重点实验室 北京 100091
    2. 安徽农业大学林学与园林学院 合肥 230036
    3. 南京林业大学南方现代林业协同创新中心 南京 210037
    4. 广东湛江红树林湿地生态系统国家定位观测研究站 湛江 524448
  • 收稿日期:2024-11-08 修回日期:2025-03-14 出版日期:2025-11-25 发布日期:2025-12-11
  • 通讯作者: 曲良建 E-mail:zhaojic2024@163.com;qulj2001@caf.ac.cn
  • 基金资助:
    “十四五”国家重点研发计划项目(2023YFC2604800)。

Screening of Highly Virulent Bt Strains Against Hyblaea puera (Cramer) and Identification of cry Insecticidal Genes

Jicheng Zhao1,2(),Qinghua Wang1,Yunpeng Liu1,Longwa Zhang2,Dezhi Kong1,Yaojun Zhu4,Liangjian Qu1,3,*()   

  1. 1. Ecology and Nature Conservation Institute, Chinese Academy of Forestry Key Laboratory of Forest Protection of National Forestry and Grassland Administration Beijing 100091
    2. College of Forestry and Horticulture, Anhui Agricultural University Hefei 230036
    3. Co-Innovation Center for Sustainable Forestry in Southern China, Nanjing Forestry University Nanjing 210037
    4. Zhanjiang National Research Station for Mangrove Wetland Ecosystem Zhanjiang 524448
  • Received:2024-11-08 Revised:2025-03-14 Online:2025-11-25 Published:2025-12-11
  • Contact: Liangjian Qu E-mail:zhaojic2024@163.com;qulj2001@caf.ac.cn

摘要:

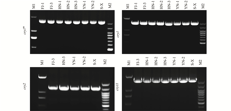
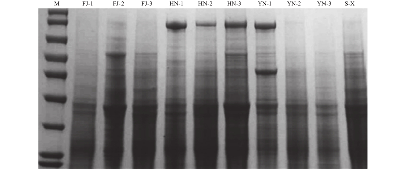
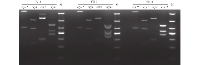
目的: 筛选对柚木驼蛾具高毒力的苏云金芽孢杆菌(Bt)菌株,并基于不同菌株的毒力参数探究强弱毒株在伴孢晶体种类、形态、cry基因型和杀虫蛋白分子量等方面的差异,为柚木驼蛾等害虫的绿色高效防控提供优良生防资源,为高毒力Bt菌株的分子筛选和科学鉴定提供参考。方法: 测定10株Bt菌株对柚木驼蛾3龄幼虫的生物活性,基于光学(相差)及电子扫描显微镜(SEM)观察、PCR-RFLP分析结合目的基因片段测序和SDS-PAGE分析等方法探究强弱毒株在伴孢晶体种类和形态、cry基因型以及杀虫晶体蛋白分子量等方面的异同。结果: 1) 10株Bt菌株对柚木驼蛾3龄幼虫均有杀虫活性,其中菌株FJ-3、YN-1和YN-2的毒力最高,48 h致死率可达到或接近100%,且3株高毒力菌株对柚木驼蛾幼虫的致死中浓度(LC50)分别为1.51×107、6.20×106和2.22×106 cfu·mL?1,致死中时间(LT50)分别为22.14、19.87 和17.04 h。2) 电子扫描显微镜观察发现,高毒力菌株产生的伴孢晶体种类较多(3~4种),且形态主要为菱形和镶嵌形,而低毒力菌株只能产生1~2种晶体,且形态大多为球形和不规则形。3) 10株Bt菌株在cry基因型和杀虫晶体蛋白分子量上亦存在差异,高毒力菌株(FJ-3、YN-1和YN-2)均含有3种cry基因型,分别为cry1Aacry2Abcry1Ia结论: 本研究筛选出针对柚木驼蛾具高毒力的FJ-3、YN-1和YN-2共3株Bt菌株,分析强弱毒株的伴孢晶体特征并鉴定出Bt菌株cry基因型,可为今后优良生防资源的分子筛选和挖掘利用提供借鉴。

关键词: 柚木驼蛾, 红树林, 苏云金芽孢杆菌, 伴孢晶体特征, cry基因型

Abstract:

Objective: This study aims to screen efficient strains of Bacillus thuringiensis (Bt) strains with high efficiency against Hyblaea puera (Cramer), providing excellent biocontrol resources for its green prevention and control. Method: In this study, the bioactivity of 10 Bt strains against 3rd instar larvae of H. puera was determined. The similarities and differences between highly and low virulent strains were investigated in terms of parasporal crystal morphology, cry genotypes, and insecticidal crystal proteins using phase contrast microscope and scanning electron microscope (SEM), PCR-RFLP analysis combined with target gene fragment sequencing, and SDS-PAGE methods. Result: 1) All 10 Bt strains showed insecticidal activity against 3rd instar larvae of H. puera, among which 3 highly virulent strains, FJ-3, YN-1 and YN-2, had highly virulent and caused up to or close to 100% mortality to the insects within 48 hour, with LC50 of the three strains were 1.51×107 cfu·mL?1、6.20×106 cfu·mL?1和2.22×106 cfu·mL?1, respectively, and the LT50 of 22.14 h, 19.87 h and 17.04 h, respectively. 2) Through scanning electron microscopy observation, it was found that highly virulent strains were able to produce a variety of the parasporal crystals (3–4 types), mainly in bipyramidal and mosaic-shaped, while low virulent strains produced 1–2 types of crystals, mostly spherical and irregular. There were also differences in cry genotypes and insecticidal crystal protein molecular weight between the high and low virulent strains. Additionally, the cry genotypes of all the above-mentioned three highly virulent strains were cry1Aa, cry2Ab and cry1Ia. Conclusion: In this study, Bt strains FJ-3, YN-1, and YN-2 with strong pathogenicity against H. puera in mangrove ecosystems have been screened, and the analysis of their parasporal crystal characteristics and cry genotypes provides a reference for the molecular screening, exploration, and utilization of high-quality biocontrol resources in future research.

Key words: Hyblaea puera, mangrove, Bacillus thuringiensis (Bt), characteristics of parasporal crystals, cry genotype

中图分类号: